Composite Bonding

What is composite bonding?

Composite bonding is a minimally invasive cosmetic dental treatment in which tooth-coloured resin is applied to the teeth to repair chips, close gaps, reshape teeth or improve discolouration.

The process of composite bonding aims to preserve the natural tooth structure, whilst improving aesthetics and function.

Lengthening and repairing short or worn teeth by applying tooth-coloured composite resin to the edges.

Covers the full surface of the tooth to improve aesthetics, closing small gaps and covering imperfections. Can be used to help change the shape and colour of the whole tooth.

Composite applied to the cheek‑facing (buccal) surfaces of teeth. Usually in cases of tooth wear to improve aesthetics and reduce sensitivity.

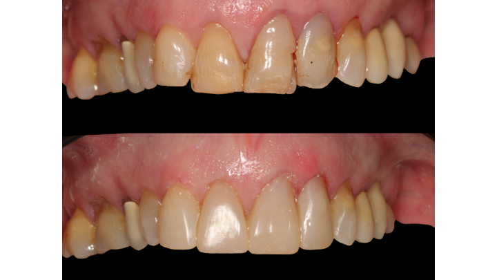
Composite Veneer Bonding

Composite veneer bonding involves placing a layer of composite over the whole surface of the tooth to change the shape and colour of the tooth. They can be used to make the teeth more uniform, repair worn teeth and improve the overall colour of teeth.

The full process of composite veneer bonding is shown in the carousel below.

If you are interested in composite bonding, or would like to find out more, please call or email our reception team and they will be happy to assist you.

Composite veneer bonding process

Composite Edge Bonding

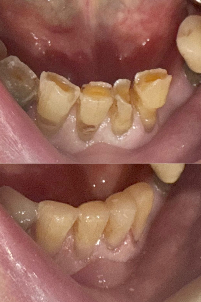
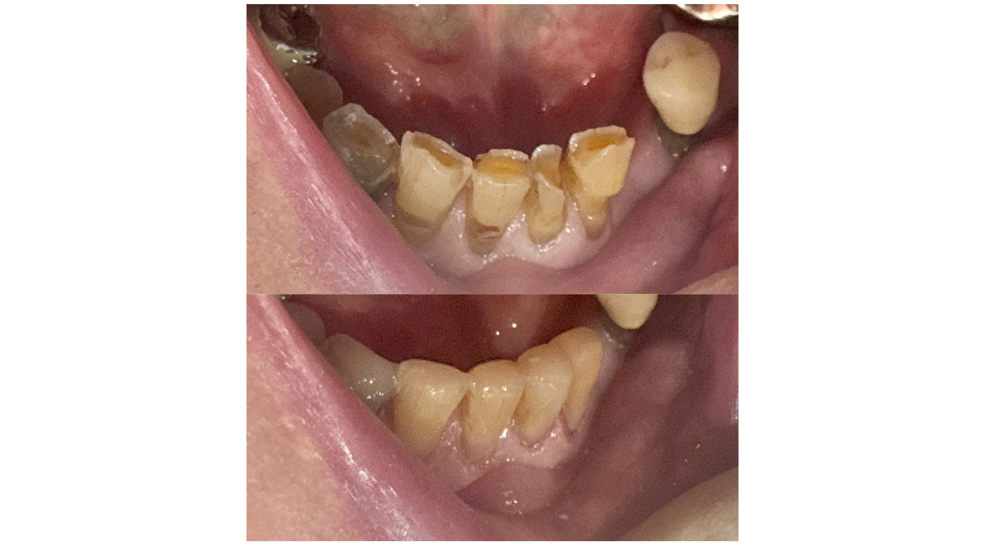
  • Over time, the tips of the teeth can wear. For some patients, this can happen at a much faster rate, due to habits such as tooth clenching or grinding. Composite bonding can be used to restore the worn tips of the teeth, improving aesthetics of the teeth and preventing further tooth wear by covering the surface.

  • Edge bonding is largely done freehand by the dentist, using their skill to re-create the shape of the tooth. In cases of more severe wear, more planning may be required, such as assessment of the bite (occlusion) and formulation of a treatment sequence if multiple teeth require restoration.

  • After edge bonding, your dentist will likely recommend a bite guard to help reduce the risk of further tooth wear and improve longevity of the composite bonding.

Composite Edge Bonding Process


Clinical Assessment

The number of teeth to be bonded, size of restorations and colour is assessed by the dentist


Tooth Preparation

Worn teeth can be soft and in some cases have areas of decay, this needs to be removed to allow a strong bond to the tooth surface.


Composite Bonding

The dentist skilfully shapes the composite directly to the tooth, ensuring to match the colour of the teeth for a seamless finish.


The teeth are polished up to a high shine finish to ensure smooth edges and a natural blend with the tooth.

Polishing


Aftercare

The dentist will go over how to look after your composite bonding at home - toothbrushing and interdental cleaning. Some patients may also be provided with a bite guard to reduce risk of ongoing wear.


Composite buccal Bonding

  • Similar to composite edge bonding, buccal bonding is used to restore worn teeth

  • Trauma can be caused to the outer surfaces of teeth by aggressive toothbrushing (abrasion). Over time this can wear large divots in the outer surface of the tooth

  • Patients with clenching/grinding habits can fracture off the outer surface of the tooth due to the force exerted on the tooth (abfraction)

  • These areas are not protected by enamel, the outer layer of tooth, and can therefore be very sensitive

  • They can become so large that they become aesthetically unappealing or even pose risk to the nerve in the centre of the tooth

Composite bonding can be used to restore buccal surfaces, reducing sensitivity by covering exposed dentine, and improving appearance.

The process of buccal composite bonding is very similar to that of composite edge bonding (above).

Please note, the picture shows a combination of both edge bonding and buccal bonding together.

For more information, or to book a consultation for composite bonding, please contact our reception team on 01256 321945.

Alternatively, by email to office@gwynnedental.co.uk or using the enquiry form, and one of the team will get back to you as soon as possible.